Biology:CD31
![]() Generic protein structure example |
Platelet endothelial cell adhesion molecule (PECAM-1) also known as cluster of differentiation 31 (CD31) is a protein that in humans is encoded by the PECAM1 gene found on chromosome17q23.3.[1][2][3][4] PECAM-1 plays a key role in removing aged neutrophils from the body.
Structure
PECAM-1 is a highly glycosylated protein with a mass of approximately 130 kDa.[5] The structure of this protein was determined by molecular cloning in 1990, when it was found out that PECAM-1 has an N-terminal domain with 574 amino acids, a transmembrane domain with 19 amino acids and a C-terminal cytoplasmic domain with 118 amino acids. The N-terminal domain consists of six extracellular Ig-like domains.[6]
Interactions
PECAM-1 is a cell-cell adhesion protein[7] which interacts with other PECAM-1 molecules through homophilic interactions or with non-PECAM-1 molecules through heterophilic interactions.[8] Homophilic interactions between PECAM-1 molecules are mediated by antiparallel interactions between extracellular Ig-like domain 1 and Ig-like domain 2. These interactions are regulated by the level of PECAM-1 expression. Homophilic interactions occur, only when the surface expression of PECAM-1 is high. Otherwise, when expression is low, heterophilic interactions occur.[9]
Tissue distribution
CD31 is normally found on endothelial cells, platelets, macrophages and Kupffer cells, granulocytes, lymphocytes (T cells, B cells, and NK cells), megakaryocytes, and osteoclasts.
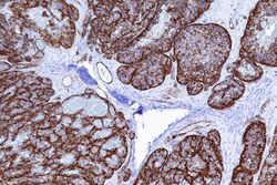
Immunohistochemistry

In immunohistochemistry, CD31 is used primarily to demonstrate the presence of endothelial cells in histological tissue sections. This can help to evaluate the degree of tumor angiogenesis, which can imply a rapidly growing tumor. Malignant endothelial cells also commonly retain the antigen, so that CD31 immunohistochemistry can also be used to demonstrate both angiomas and angiosarcomas. It can also be demonstrated in small lymphocytic and lymphoblastic lymphomas, although more specific markers are available for these conditions.[10]
Function
PECAM-1 is found on the surface of platelets, monocytes, neutrophils, and some types of T-cells, and makes up a large portion of endothelial cell intercellular junctions. The encoded protein is a member of the immunoglobulin superfamily and is likely involved in leukocyte transmigration, angiogenesis, and integrin activation.[1] CD31 on endothelial cells binds to the CD38 receptor on natural killer cells for those cells to attach to the endothelium.[11][12]
Role in signaling
PECAM-1 plays a role in cell signaling. In the cytoplasmic domain of PECAM-1 are serine and tyrosine residues which are suitable for phosphorylation. After the tyrosine is phosphorylated, PECAM-1 recruits Src homology 2 (SH2) domain–containing signaling proteins. These proteins can then initiate signaling pathways. Of all these proteins, the protein most widely reported as interacting with the PECAM-1 cytoplasmic domain is SH2 domain–containing protein-tyrosine phosphatase SHP-2.[13] Signaling through PECAM-1 leads to the activation of neutrophils, monocytes and leukocytes.[14]
Leukocyte transmigration
PECAM-1 is involved in migration of monocytes and neutrophils,[15] natural killer cells,[16] Vδ1+ γδ T lymphocytes[17] and CD34+ hematopoietic progenitor cells[18] through the endothelial cells. Moreover, PECAM-1 is involved in transendothelial migration of recent thymic emigrants to the secondary lymphoid organs.[19] Mechanism of leukocyte transmigration can be explained by creating a homophilic interaction. In this interaction migrating leukocytes express PECAM-1 on the surface and then they react with PECAM-1 on the surface of endothelial cell.[20]
Angiogenesis
PECAM-1 is also important for angiogenesis because it enables the formation of new blood vessels through the cell-cell adhesion.[21]
Role of CD31 in diseases
Cancer
PECAM-1 is expressed by many solid tumor cell lines such as hemangioma, angiosarcoma, Kaposi’s sarcoma, breast carcinoma, glioblastoma, colon carcinoma, skin carcinoma and other tumor cell lines.[22] On the surface of these tumor cells PECAM-1 mediates the adhesion to endothelial cells.[23] PECAM-1 modulates tumor growth by the formation of new endothelial cell tubes. In mice, this process can be inhibited using an anti-PECAM-1 antibody.[24]
Recently, it was found out that elderly patients with gastric cancer have high concentration of PECAM-1 in the serum. That suggests that the use of a serum PECAM-1 level can be a good prognostic marker.[25]
Atherosclerosis
Inhibition of PECAM-1 leads to a reduction of atherosclerotic lesions in mice.[26] That means that PECAM-1 is involved in atherosclerosis. The exact mechanism, how PECAM-1 contributes to atherosclerosis is not known, but there are some theories. PECAM-1 can act as a mechanoresponsive molecule. Or the pathogenesis can be caused by the infiltration of leukocytes mediated by PECAM-1. Finally, polymorphisms in the PECAM-1 gene can lead to the progression of atherosclerosis.[27]
Disseminated intravascular coagulation
Extensive microvascular thrombosis and increased microvascular permeability are main characteristics of disseminated intravascular coagulation, a fatal complication of sepsis. Patients with this devastating condition have high levels of PECAM-1 in the serum indicating PECAM-1 as a good diagnostic marker. Moreover, PECAM-1 can protect from the development of disseminated intravascular coagulation by inhibiting macrophage pyroptosis.[28]
Neuroinflammation
PECAM-1 contributes to at least two of the nervous system diseases, multiple sclerosis and cerebral ischaemia. First signs of multiple sclerosis are defects in the blood brain barrier and leukocyte migration mediated by adhesion molecules such as PECAM-1. Moreover, monocytes in patients with multiple sclerosis express high level of PECAM-1. Cerebral ischaemia is caused by the accumulation of leukocytes, which then infiltrate brain parenchyma and release toxic compounds such as oxygen radicals. Interactions between leukocyte and endothelium are mediated by PECAM-1. High levels of soluble PECAM-1 can be used to diagnose both diseases. Increased PECAM-1 levels indicate damage in the blood brain barrier in patients with multiple sclerosis and high PECAM-1 levels can be used as a short-term prediction of a stroke in patients with cerebral ischaemia.[29]
References
- ↑ 1.0 1.1 "Entrez Gene: platelet/endothelial cell adhesion molecule". https://www.ncbi.nlm.nih.gov/sites/entrez?Db=gene&Cmd=ShowDetailView&TermToSearch=5175.
- ↑ "PECAM-1 (CD31) cloning and relation to adhesion molecules of the immunoglobulin gene superfamily". Science 247 (4947): 1219–1222. March 1990. doi:10.1126/science.1690453. PMID 1690453. Bibcode: 1990Sci...247.1219N.
- ↑ "The human PECAM1 gene maps to 17q23". Genomics 34 (2): 229–232. June 1996. doi:10.1006/geno.1996.0272. PMID 8661055.
- ↑ "Fluorescence in situ hybridization mapping of the mouse platelet endothelial cell adhesion molecule-1 (PECAM1) to mouse chromosome 6, region F3-G1". Genomics 37 (2): 226–228. October 1996. doi:10.1006/geno.1996.0546. PMID 8921400.
- ↑ "Molecular cloning of CD31, a putative intercellular adhesion molecule closely related to carcinoembryonic antigen". The Journal of Experimental Medicine 171 (6): 2147–2152. June 1990. doi:10.1084/jem.171.6.2147. PMID 2351935.
- ↑ "PECAM-1 (CD31) cloning and relation to adhesion molecules of the immunoglobulin gene superfamily". Science 247 (4947): 1219–1222. March 1990. doi:10.1126/science.1690453. PMID 1690453. Bibcode: 1990Sci...247.1219N.
- ↑ "Molecular and cellular properties of PECAM-1 (endoCAM/CD31): a novel vascular cell-cell adhesion molecule". The Journal of Cell Biology 114 (5): 1059–1068. September 1991. doi:10.1083/jcb.114.5.1059. PMID 1874786.
- ↑ "Molecular and functional aspects of PECAM-1/CD31". Immunology Today 15 (10): 490–495. October 1994. doi:10.1016/0167-5699(94)90195-3. PMID 7945775.
- ↑ "Platelet endothelial cell adhesion molecule-1 (PECAM-1) homophilic adhesion is mediated by immunoglobulin-like domains 1 and 2 and depends on the cytoplasmic domain and the level of surface expression". The Journal of Biological Chemistry 271 (31): 18561–18570. August 1996. doi:10.1074/jbc.271.31.18561. PMID 8702505.
- ↑ Leong, Anthony S-Y; Cooper, Kumarason; Leong, F Joel W-M (2003). Manual of Diagnostic Cytology (2 ed.). Greenwich Medical Media, Ltd.. p. 103. ISBN 978-1-84110-100-2.
- ↑ "NK cells and CD38: Implication for (Immuno)Therapy in Plasma Cell Dyscrasias". Cells 9 (3): 768. March 2020. doi:10.3390/cells9030768. PMID 32245149.
- ↑ "Roles of CD38 in the Immune Response to Infection". Cells 9 (1): 228. January 2020. doi:10.3390/cells9010228. PMID 31963337.
- ↑ "Signal transduction pathways mediated by PECAM-1: new roles for an old molecule in platelet and vascular cell biology". Arteriosclerosis, Thrombosis, and Vascular Biology 23 (6): 953–964. June 2003. doi:10.1161/01.ATV.0000071347.69358.D9. PMID 12689916.
- ↑ "Ligation of CD31/PECAM-1 modulates the function of lymphocytes, monocytes and neutrophils". European Journal of Immunology 28 (6): 1948–1958. June 1998. doi:10.1002/(SICI)1521-4141(199806)28:06<1948::AID-IMMU1948>3.0.CO;2-C. PMID 9645377.
- ↑ "PECAM-1 is required for transendothelial migration of leukocytes". The Journal of Experimental Medicine 178 (2): 449–460. August 1993. doi:10.1084/jem.178.2.449. PMID 8340753.
- ↑ "Roles of platelet/endothelial cell adhesion molecule-1 (PECAM-1, CD31) in natural killer cell transendothelial migration and beta 2 integrin activation". Journal of Immunology 156 (4): 1515–1524. February 1996. doi:10.4049/jimmunol.156.4.1515. PMID 8568255. https://pubmed.ncbi.nlm.nih.gov/8568255.
- ↑ "Transendothelial migratory pathways of V delta 1+TCR gamma delta+ and V delta 2+TCR gamma delta+ T lymphocytes from healthy donors and multiple sclerosis patients: involvement of phosphatidylinositol 3 kinase and calcium calmodulin-dependent kinase II". Journal of Immunology 168 (12): 6071–6077. June 2002. doi:10.4049/jimmunol.168.12.6071. PMID 12055216.
- ↑ "Adhesion molecules involved in transendothelial migration of human hematopoietic progenitor cells". Stem Cells 18 (6): 435–443. 2000. doi:10.1634/stemcells.18-6-435. PMID 11072032.
- ↑ "Two subsets of naive T helper cells with distinct T cell receptor excision circle content in human adult peripheral blood". The Journal of Experimental Medicine 195 (6): 789–794. March 2002. doi:10.1084/jem.20011756. PMID 11901204.
- ↑ "Targeted recycling of PECAM from endothelial surface-connected compartments during diapedesis". Nature 421 (6924): 748–753. February 2003. doi:10.1038/nature01300. PMID 12610627. Bibcode: 2003Natur.421..748M.
- ↑ "Involvement of endothelial PECAM-1/CD31 in angiogenesis". The American Journal of Pathology 151 (3): 671–677. September 1997. PMID 9284815.
- ↑ "Mechanisms of PECAM-1-mediated cytoprotection and implications for cancer cell survival". Leukemia & Lymphoma 46 (10): 1409–1421. October 2005. doi:10.1080/10428190500126091. PMID 16194886.
- ↑ "Identification of PECAM-1 in solid tumor cells and its potential involvement in tumor cell adhesion to endothelium". The Journal of Biological Chemistry 268 (30): 22883–22894. October 1993. doi:10.1016/S0021-9258(18)41609-2. PMID 8226797.
- ↑ "Antibody against murine PECAM-1 inhibits tumor angiogenesis in mice". Angiogenesis 3 (2): 181–188. 1999. doi:10.1023/a:1009092107382. PMID 14517436.
- ↑ "Serum CXCL13 and PECAM-1 can be used as diagnostic and prognostic markers in elderly patients with gastric cancer". Clinical & Translational Oncology 23 (1): 130–138. January 2021. doi:10.1007/s12094-020-02403-w. PMID 32500259.
- ↑ "PECAM-1 is a critical mediator of atherosclerosis". Disease Models & Mechanisms 1 (2–3): 175–81; discussion 179. September 2008. doi:10.1242/dmm.000547. PMID 19048083.
- ↑ "PECAM-1: a multi-functional molecule in inflammation and vascular biology". Arteriosclerosis, Thrombosis, and Vascular Biology 27 (12): 2514–2523. December 2007. doi:10.1161/ATVBAHA.107.151456. PMID 17872453.
- ↑ "PECAM-1 protects against DIC by dampening inflammatory responses via inhibiting macrophage pyroptosis and restoring vascular barrier integrity". Translational Research 222: 1–16. August 2020. doi:10.1016/j.trsl.2020.04.005. PMID 32417429.
- ↑ "PECAM-1, a key player in neuroinflammation". European Journal of Neurology 13 (12): 1284–1290. December 2006. doi:10.1111/j.1468-1331.2006.01640.x. PMID 17116209.
Further reading
- "The unfolding tale of PECAM-1". FEBS Letters 540 (1–3): 7–14. April 2003. doi:10.1016/S0014-5793(03)00224-2. PMID 12681475.
- "Signal transduction pathways mediated by PECAM-1: new roles for an old molecule in platelet and vascular cell biology". Arteriosclerosis, Thrombosis, and Vascular Biology 23 (6): 953–964. June 2003. doi:10.1161/01.ATV.0000071347.69358.D9. PMID 12689916.
- "PECAM-1: old friend, new partners". Current Opinion in Cell Biology 15 (5): 515–524. October 2003. doi:10.1016/S0955-0674(03)00100-5. PMID 14519385.
- "Regulation of B cell activation by PECAM-1: implications for the development of autoimmune disorders". Current Pharmaceutical Design 10 (2): 155–161. 2004. doi:10.2174/1381612043453504. PMID 14754395.
- "PECAM-1, a key player in neuroinflammation". European Journal of Neurology 13 (12): 1284–1290. December 2006. doi:10.1111/j.1468-1331.2006.01640.x. PMID 17116209.
- "Molecular characterization and functional analysis of the leukocyte surface protein CD31". Journal of Immunology 145 (11): 3889–3897. December 1990. doi:10.4049/jimmunol.145.11.3889. PMID 1700999.
- "Molecular and cellular properties of PECAM-1 (endoCAM/CD31): a novel vascular cell-cell adhesion molecule". The Journal of Cell Biology 114 (5): 1059–1068. September 1991. doi:10.1083/jcb.114.5.1059. PMID 1874786.
- "Molecular cloning of CD31, a putative intercellular adhesion molecule closely related to carcinoembryonic antigen". The Journal of Experimental Medicine 171 (6): 2147–2152. June 1990. doi:10.1084/jem.171.6.2147. PMID 2351935.
- "Organization of the gene for human platelet/endothelial cell adhesion molecule-1 shows alternatively spliced isoforms and a functionally complex cytoplasmic domain". Blood 84 (12): 4028–4037. December 1994. doi:10.1182/blood.V84.12.4028.bloodjournal84124028. PMID 7994021.
- "Identification of PECAM-1 in solid tumor cells and its potential involvement in tumor cell adhesion to endothelium". The Journal of Biological Chemistry 268 (30): 22883–22894. October 1993. doi:10.1016/S0021-9258(18)41609-2. PMID 8226797.
- "Polymorphism of adhesion molecule CD31 and its role in acute graft-versus-host disease". The New England Journal of Medicine 334 (5): 286–291. February 1996. doi:10.1056/NEJM199602013340502. PMID 8532023.
- "Integrin engagement mediates tyrosine dephosphorylation on platelet-endothelial cell adhesion molecule 1". Proceedings of the National Academy of Sciences of the United States of America 93 (21): 11808–11813. October 1996. doi:10.1073/pnas.93.21.11808. PMID 8876219. Bibcode: 1996PNAS...9311808L.
- "Cloning of the human platelet endothelial cell adhesion molecule-1 promoter and its tissue-specific expression. Structural and functional characterization". Journal of Immunology 157 (12): 5411–5421. December 1996. doi:10.4049/jimmunol.157.12.5411. PMID 8955189.
- "The protein-tyrosine phosphatase SHP-2 binds platelet/endothelial cell adhesion molecule-1 (PECAM-1) and forms a distinct signaling complex during platelet aggregation. Evidence for a mechanistic link between PECAM-1- and integrin-mediated cellular signaling". The Journal of Biological Chemistry 272 (11): 6986–6993. March 1997. doi:10.1074/jbc.272.11.6986. PMID 9054388.
- "Tyrosine residue in exon 14 of the cytoplasmic domain of platelet endothelial cell adhesion molecule-1 (PECAM-1/CD31) regulates ligand binding specificity". The Journal of Cell Biology 138 (6): 1425–1435. September 1997. doi:10.1083/jcb.138.6.1425. PMID 9298995.
- "Human CD38 (ADP-ribosyl cyclase) is a counter-receptor of CD31, an Ig superfamily member". Journal of Immunology 160 (1): 395–402. January 1998. doi:10.4049/jimmunol.160.1.395. PMID 9551996. http://www.jimmunol.org/content/160/1/395.full.
- "Platelet-endothelial cell adhesion molecule-1 is expressed by a subpopulation of human trophoblasts: a possible mechanism for trophoblast-endothelial interaction during haemochorial placentation". Molecular Human Reproduction 4 (4): 357–367. April 1998. doi:10.1093/molehr/4.4.357. PMID 9620836.
- "Regulation of mouse PECAM-1 tyrosine phosphorylation by the Src and Csk families of protein-tyrosine kinases". The Journal of Biological Chemistry 273 (25): 15765–15772. June 1998. doi:10.1074/jbc.273.25.15765. PMID 9624175.
- "Ig gene-like molecule CD31 plays a nonredundant role in the regulation of T-cell immunity and tolerance". Proceedings of the National Academy of Sciences of the United States of America 107 (45): 19461–19466. November 2010. doi:10.1073/pnas.1011748107. PMID 20978210. Bibcode: 2010PNAS..10719461M.
External links
- Human CD Antigen Chart (eBioscience)
- Mouse CD Antigen Chart (eBioscience)
- Human PECAM1 genome location and PECAM1 gene details page in the UCSC Genome Browser.
- Overview of all the structural information available in the PDB for UniProt: P16284 (Platelet endothelial cell adhesion molecule) at the PDBe-KB.
![]() | Original source: https://en.wikipedia.org/wiki/CD31.
Read more |